Blog

ORAL HEALTH & PREGNANCY
Oral Health and Pregnancy
Pregnancy is a time for many healthcare visits. While it’s tempting to skip the dentist,...
Read more
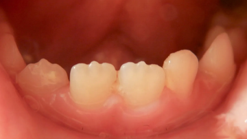
ADULT TEETH
Bumps on the New Adult Teeth
In dentistry, a mamelon is a rounded bump on the edge of a tooth. It’s...
Read more
PLANNING FOR BRACES
Ultimate Guide to Braces for Kids
These days, many children get braces. Kids today are sometimes excited to get braces. In...
Read more
FLOSSING
Preschool and Beyond - When to Floss
If there’s drool constantly hanging from your baby’s chin and she is suddenly wanting to...
Read more
BABY TEETH
5 Reasons Baby Teeth are Important as Permanent Teeth
The truth is that baby teeth DO matter! Primary teeth, or baby teeth, are very...
Read more
BABY TEETH
Baby Teeth
If you think your baby’s toothless smile is cute, just wait until their first few...
Read more
GUIDANCE WITH TRAUMA & ACCIDENTS
First Aid for Kids: Sports Injury/Dental Trauma
The causes of these teeth injuries range from falling over to accidents while playing sports....
Read more
BABY TEETH
Tooth Decay in Baby Teeth
Did you know that tooth decay is the most common long-term childhood disease? Children of...
Read more
BABY TEETH
Three Common Myths About Childrens’ Dental Health
This isn’t so much a myth, but really an oversight. In the age of the...
Read more